Get 20% Off Today!
Kids Tooth Filling – Gentle & Pain-Free Dental Care for Children
At Talat Medical Complex, DHA Phase 2 Islamabad & Rawalpindi, we provide specialized dental care for children, focusing on preventive treatments like tooth fillings. Our team ensures that your child receives comfortable, safe, and effective dental care to protect their teeth from cavities and decay.
Kids are treated with gentle techniques and modern equipment, making every visit stress-free and positive. Our goal is to instill healthy dental habits while maintaining excellent oral health from an early age.
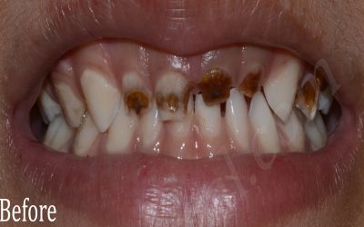
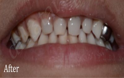
What Are Tooth Fillings for Kids?
Tooth fillings are dental treatments used to restore teeth damaged by cavities or decay. They prevent further damage, restore proper tooth function, and protect your child’s smile.
We use child-friendly materials and techniques that are safe, durable, and aesthetically pleasing, ensuring the fillings last while keeping your child comfortable throughout the procedure.
Why Kids Need Tooth Fillings
-
Treats tooth decay before it worsens
-
Prevents pain and infection
-
Restores chewing function and tooth structure
-
Maintains healthy permanent teeth
-
Promotes good oral hygiene habits early
Early intervention ensures your child grows up with strong, healthy teeth.
Why Choose Talat Medical Complex for Kids Tooth Fillings?
-
Experienced pediatric dental team
-
Child-friendly, stress-free environment
-
Modern dental technology for safe and painless procedures
-
Personalized care plans for each child
-
Convenient location in DHA Phase 2 Islamabad & Rawalpindi
Kids Tooth Filling Procedure
-
Initial Assessment – Thorough examination and cavity detection
-
Tooth Preparation – Cleaning and removal of decay
-
Filling Placement – Applying durable, child-safe material
-
Finishing & Polishing – Restoring tooth to normal function and appearance
-
Post-Care Advice – Guidance on oral hygiene and diet
Most procedures are painless and quick, ensuring your child remains calm and comfortable.
Cost of Kids Tooth Fillings in Islamabad & Rawalpindi
-
The cost varies depending on the number of teeth treated and type of filling material
-
Contact Talat Medical Complex for an accurate estimate and consultation
-
Flexible payment options and child-friendly packages available
Our Works


My child was comfortable and calm during the tooth filling. The gentle care made the whole experience stress-free.


The kids tooth filling treatment was quick and painless. My child left smiling with no fear at all


Excellent care for children’s dental needs. The tooth filling was done gently, and my child felt completely safe
Have any questions? Call us now!
Get a confident, radiant smile with professional teeth whitening in Islamabad & Rawalpindi at Talat Medical Complex, DHA Phase 2
Make an Appointment!
Book your visit in just a few clicks and take the first step toward a healthier, brighter smile.
Our team is ready to provide expert care at a time that suits you best.
Questions & Answers
Are tooth fillings painful for kids?
No, we use gentle techniques and local anesthesia if needed to make the procedure comfortable.
How long does a filling last?
With proper care, fillings can last several years, even until the permanent tooth comes in.
At what age should kids get fillings?
Fillings are done as soon as cavities are detected, even in primary (baby) teeth, to prevent further decay.
Didn’t find the answer?
If you can’t find the answer to your question below, please write to us. Our team will be happy to assist you with accurate information.







