About Scaling and Polishing
At Talat Medical Complex, DHA Phase 2 Islamabad & Rawalpindi, we offer professional scaling and polishing to maintain healthy gums and a bright smile. This preventive dental treatment removes plaque, tartar, and surface stains that regular brushing cannot eliminate.
Our experienced dentists ensure a gentle, comfortable, and effective cleaning process.
What Is Scaling and Polishing?
Scaling removes hardened plaque (tartar) and bacteria from teeth and below the gum line.
Polishing smoothens the tooth surface, removes stains, and helps prevent future plaque buildup.
Benefits of Scaling and Polishing
-
Prevents gum disease and tooth decay
-
Removes plaque, tartar, and stains
-
Freshens breath
-
Improves gum health
-
Enhances smile appearance
Who Needs Scaling and Polishing?
-
Bleeding or swollen gums
-
Bad breath
-
Visible tartar buildup
-
Smokers or tea/coffee drinkers
-
Routine dental maintenance
Why Choose Talat Medical Complex?
-
Skilled dental professionals
-
Advanced ultrasonic scaling equipment
-
Safe and painless procedure
-
Hygienic and modern clinic
-
Located in DHA Phase 2 Islamabad & Rawalpindi
Scaling and Polishing Procedure
-
Dental examination
-
Ultrasonic scaling
-
Polishing and stain removal
-
Oral hygiene advice
The procedure usually takes 30–45 minutes.
Scaling and Polishing Cost in Islamabad & Rawalpindi
The cost depends on:
-
Level of tartar buildup
-
Gum condition
📞 Contact Talat Medical Complex for affordable pricing and consultation.
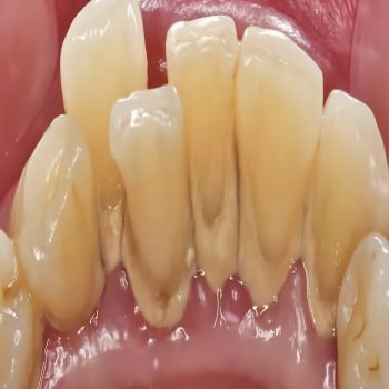
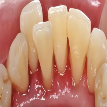
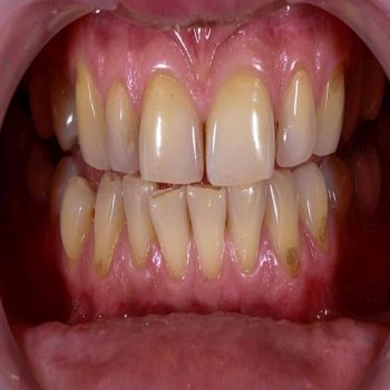
Our Works


The scaling and polishing treatment made a visible difference. My teeth look cleaner, brighter, and healthier than before.


I was amazed by the before and after results of scaling and polishing. The whitening effect was natural and very noticeable.


After scaling and polishing, my teeth feel smooth and look much whiter. The results were immediate and very satisfying.
Have any questions? Call us now!
Get a confident, radiant smile with professional teeth whitening in Islamabad & Rawalpindi at Talat Medical Complex, DHA Phase 2
Make an Appointment!
Book your visit in just a few clicks and take the first step toward a healthier, brighter smile.
Our team is ready to provide expert care at a time that suits you best.
Questions & Answers
Is scaling and polishing painful?
No, it is generally painless. Mild sensitivity may occur temporarily.
How often should I get scaling and polishing?
Every 6 months is recommended.
Does scaling damage teeth?
No, it is safe and essential for oral health.
Can scaling whiten teeth?
It removes stains but is not a whitening treatment.
Didn’t find the answer?
If you can’t find the answer to your question below, please write to us. Our team will be happy to assist you with accurate information.







