About Dentures
At Talat Medical Complex, DHA Phase 2 Islamabad & Rawalpindi, we provide customized dentures to restore missing teeth and improve your smile, speech, and chewing ability. Our dentures are designed for comfort, durability, and a natural appearance.
Whether you need full or partial dentures, our experienced dental team ensures a perfect fit and long-lasting results.
What Are Dentures?
Dentures are removable dental appliances used to replace missing teeth and surrounding tissues. They help restore facial structure, improve oral function, and enhance confidence.
Benefits of Dentures
-
Restore missing teeth
-
Improve chewing and speech
-
Support facial muscles
-
Natural-looking smile
-
Affordable tooth replacement option
Types of Dentures We Offer
Complete Dentures
For patients missing all teeth in the upper or lower jaw.
Partial Dentures
For patients missing some teeth while others remain healthy.
Flexible Dentures
Lightweight, comfortable, and more natural in appearance.
Why Choose Talat Medical Complex for Dentures?
-
Skilled prosthodontic specialists
-
High-quality denture materials
-
Custom-fit and comfortable designs
-
Hygienic and modern dental facility
-
Located in DHA Phase 2 Islamabad & Rawalpindi
Dentures Treatment Process
-
Dental evaluation & impressions
-
Denture design and fabrication
-
Fitting and adjustments
-
Post-treatment care guidance
Dentures Cost in Islamabad & Rawalpindi
The cost depends on:
-
Type of denture
-
Materials used
-
Number of teeth replaced
📞 Contact Talat Medical Complex for affordable pricing and consultation.
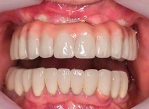
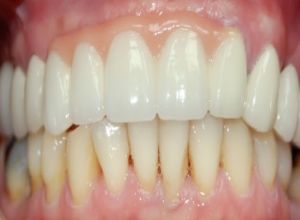
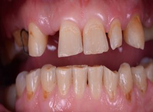
Our Works


r. Hasnain Ali provided perfectly fitting dentures that look completely natural. I can now smile and eat comfortably again


The dentures treatment was smooth and stress-free. Dr. Hasnain Ali ensured excellent comfort, fit, and a very natural appearance.


I am extremely satisfied with my dentures. Dr. Hasnain Ali’s skill and care restored both my confidence and daily comfort.
Have any questions? Call us now!
Get a confident, radiant smile with professional teeth whitening in Islamabad & Rawalpindi at Talat Medical Complex, DHA Phase 2
Make an Appointment!
Book your visit in just a few clicks and take the first step toward a healthier, brighter smile.
Our team is ready to provide expert care at a time that suits you best.
Questions & Answers
Are dentures comfortable?
Yes, modern dentures are designed for comfort and proper fit.
How long do dentures last?
Dentures can last 5–10 years with proper care.
Do dentures look natural?
Yes, our dentures are customized to match natural teeth.
Can I eat normally with dentures?
Yes, after a short adjustment period.
Didn’t find the answer?
If you can’t find the answer to your question below, please write to us. Our team will be happy to assist you with accurate information.







